
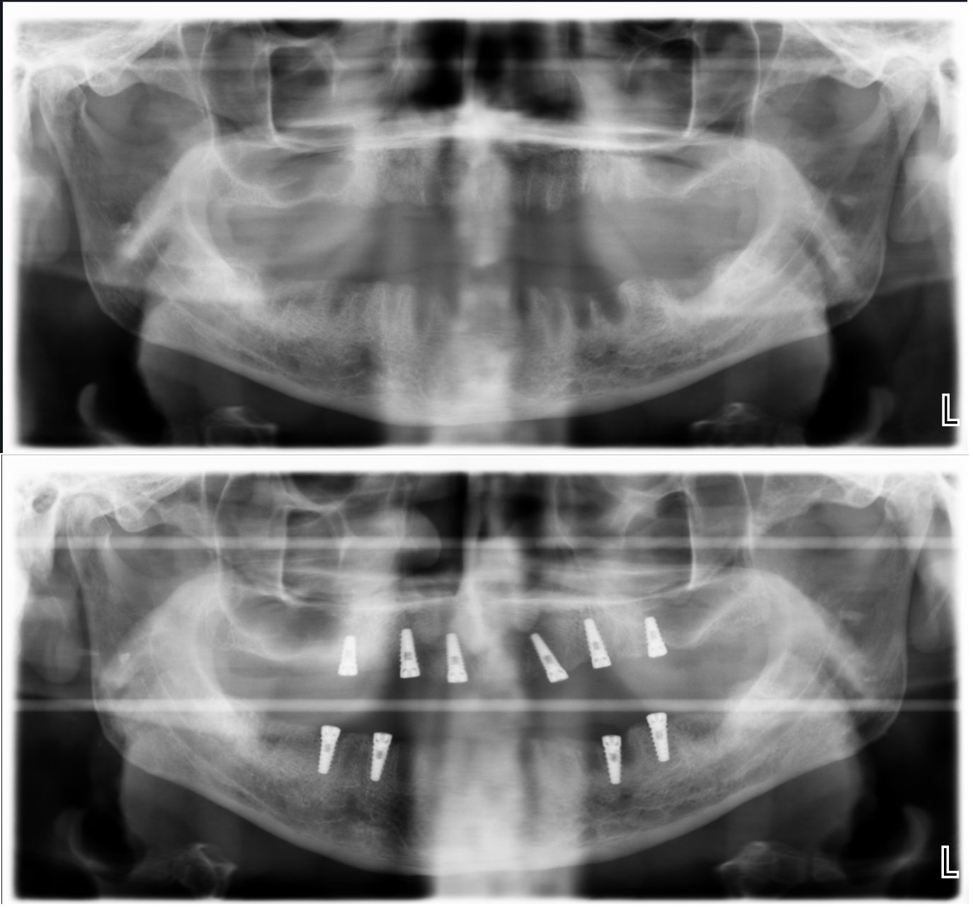
On this page, you’ll find different categories of clinical cases I have performed. Click on any image to explore more cases within that specific treatment area.
On-page Content:
My portfolio shows the real results I’ve achieved for patients needing dental implants and cosmetic treatments in Stockholm.
Featured cases include:
Dental implant restorations
Smile makeovers with veneers
Full arch dental rehabilitations
Aesthetic tooth reshaping
Every photo reflects my commitment to clinical precision and aesthetic excellence.